MENU

ブログ

Blog

歯並びのずれや上下の前歯の前突感を抜歯矯正で改善した症例:表側にホワイトワイヤー|【公式】薬院六つ角矯正歯科|福岡市中央区の薬院大通駅近くの矯正歯科

歯並びのずれや上下の前歯の前突感を抜歯矯正で改善した症例:表側にホワイトワイヤー

こんにちは!

薬院六つ角矯正歯科です🤗

今日は表側のワイヤー矯正の症例についてご紹介します。

キーワード:ワイヤー矯正、歯並びのガタガタ、前歯が出ている、大人の矯正、目立たない矯正

 

患者様は、前歯の大きさ、下の歯のガタガタが気になるとのことです。

お口の中を診ると、叢生(歯並びがガタガタ)、上下前歯の前突(上下の前歯が前方に位置)などが認められました。

検査、診断の結果、全体的なかみ合わせの改善が必要で、右側4番と左側5番の4本抜歯の全顎矯正治療を行うこととしました。

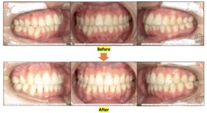
治療前後の写真です↓↓

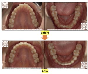
上下顎咬合面の治療前後の写真です↓↓

 

ワイヤー矯正中の写真です↓↓

 

動的治療期間は約2年8ヶ月でした。左上5番が神経を抜いている歯でしたので、患者様と話し合った結果、右側は4番、左は5番のイレギュラーな抜歯矯正を行いました。この場合の治療はとても難しくなり、治療期間が長くなりやすいですが、定期的な通院を頑張っていただいたおかげで治療期間内に終わらせることができました。

性別:女性

年齢:20代

主訴:前歯の大きさ、下の歯のガタガタが気になる

診断名:叢生

動的矯正治療期間:2年8ヶ月

使用した装置:マルチブラケット装置(表側にホワイトワイヤー)

抜歯部位:右側第一小臼歯、左側第二小臼歯

治療のリスク:歯肉の退縮、歯根吸収、歯髄充血、歯髄壊死など

治療費用総額(精密検査・診断、保定装置代含む、消費税込み):910,500円

※治療費用は治療の時期などで個人差があります

以上となります。

早く治療を終わらせたい方は、歯を動かすために装置作製や抜歯などの準備が必要になりますので、なるべく早めの精密検査をおすすめします。

歯並びが気になる方は、お気軽にご相談ください☺️

住所:福岡県福岡市中央区警固1−1−23上人橋通りKIKUEビル2F

医院名:薬院六つ角矯正歯科

電話番号:092-717-5617

カテゴリー

最近の投稿

月別アーカイブ