こんにちは!
福岡市中央区にある薬院六つ角矯正歯科です!
今日はホワイトワイヤーの矯正症例についてご紹介します。
キーワード:ワイヤー矯正、八重歯、全顎矯正、ホワイトワイヤー、中学生の矯正、高校生の矯正、矯正歯科
主訴は、歯が反対に咬んでいる、歯並びが悪い、八重歯があるです。
お口の中を診ると、上下顎の叢生(前歯の並びがガタガタ)、上顎の右側の2番めの歯が反対に咬んでいる状態が認められました。
検査、診断の結果、非抜歯(歯を抜かない)による矯正治療を行うこととしました。
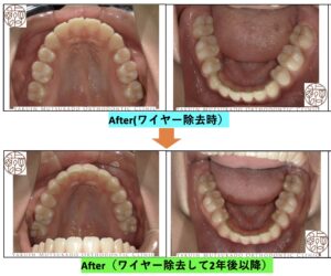
治療前後の写真です↓↓(黄色:治療前、青色:装置除去後、緑色:装置除去後2年以降)


上下顎咬合面の治療前後の写真です↓↓(黄色:治療前、青色:装置除去後、緑色:装置除去後2年以降)


矯正中の写真です↓↓

患者様が、歯磨きを頑張っていただき、また月に1回は必ず受診していただいたこともあり、予定治療期間内に、きれいな噛み合わせを獲得することができました。
性別:女性
年齢:10代
主訴:歯が反対に咬んでいる、歯並びが悪い、八重歯がある
診断名:叢生
治療期間:1年5ヶ月
使用した装置:マルチブラケット装置(表側にホワイトワイヤー)
抜歯部位:非抜歯
当院での現在のホワイトワイヤーの矯正治療費用:検査・診断(33,000円),矯正治療料金(825,000円),診療ごとの処置料金
治療のリスク:歯肉の退縮、歯根吸収、歯髄充血
※実際の治療と費用は個人差がありますので、あくまで参考とお考えください。
以上となります。
歯並びを治したい患者様は、お気軽にご相談ください😁
住所:福岡県福岡市中央区警固1−1−23上人橋通りKIKUEビル2F
医院名:薬院六つ角矯正歯科
電話番号:092-717-5617
当院は、福岡の歯列矯正歯科専門医院です。