こんにちは!
薬院六つ角矯正歯科です😊
今日は表側のワイヤー矯正の症例についてご紹介します。
キーワード:ワイヤー矯正、すきっ歯、前歯が出ている、前歯がかんでいない、大人の矯正、口ゴボ、目立たない矯正
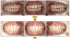
患者様は、すきっ歯、歯並びのずれが気になるとのことです。
お口の中を診ると、開咬(上下の歯がかんでいない)、空隙歯列(歯と歯の間に隙間がある)上下前歯の前突(上下の前歯が前方に位置)などが認められました。
検査、診断の結果、全体的なかみ合わせの改善が必要で、上下顎第一小臼歯の4本抜歯の全顎矯正治療を行うこととしました。
治療前後の写真です↓↓

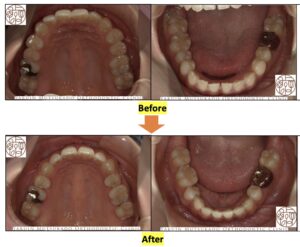
上下顎咬合面の治療前後の写真です↓↓

ワイヤー矯正中の写真です↓↓

横顔の変化の写真です↓↓

上下の前歯を後方に下げたことで上下の口唇の突出感は改善されました。
動的治療期間は約2年4ヶ月で、定期的な通院と歯磨きを頑張っていただいたおかげで治療期間内に終わらせることができました。
性別:女性
年齢:20代
主訴:すきっ歯、歯並びのずれが気になる
診断名:空隙歯列を伴う歯性開咬
動的矯正治療期間:2年4ヶ月
使用した装置:マルチブラケット装置(表側にホワイトワイヤー)
抜歯部位:上下顎第一小臼歯
治療のリスク:歯肉の退縮、歯根吸収、歯髄充血、歯髄壊死など
治療費用総額(精密検査・診断、保定装置代含む、消費税込み):996,500円
※治療費用は治療の時期などで個人差があります。
以上となります。
早く治療を終わらせたい方は、歯を動かすために装置作製や抜歯などの準備が必要になりますので、なるべく早めの精密検査をおすすめします。
歯並びが気になる方は、お気軽にご相談ください☺️
住所:福岡県福岡市中央区警固1−1−23上人橋通りKIKUEビル2F
医院名:薬院六つ角矯正歯科
電話番号:092-717-5617