ブログ
Blog
ブログ
Blog
こんにちは!
薬院六つ角矯正歯科です😁
今日は表側のワイヤー矯正の症例についてご紹介します。
キーワード:ワイヤー矯正、歯並びのガタガタ、大人の矯正、目立たない矯正、ホワイトワイヤー
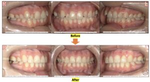
患者様は、八重歯が気になるとのことです。
お口の中を診ると、叢生(歯並びがガタガタ)、上顎右側側切歯舌側転位(上顎右側2番目の歯が内側にある)などが認められました。
検査、診断の結果、全体的なかみ合わせの改善が必要で、上下顎小臼歯4本抜歯の全顎矯正治療を行うこととしました。
治療前後の写真です↓↓

上下顎咬合面の治療前後の写真です↓↓

ワイヤー矯正中の写真です↓↓

動的治療期間は約2年3ヶ月でした。歯が矯正移動するときに障害となる硬い骨があり、時間がかかりそうだと説明していましたが、ゴム掛けや定期的な通院を頑張っていただいたおかげで治療期間内に終わらせることができました。
性別:女性
年齢:30代
主訴:八重歯
診断名:叢生
動的矯正治療期間:2年3ヶ月
使用した装置:マルチブラケット装置(表側にホワイトワイヤー)
抜歯部位:上下顎第一小臼歯
治療のリスク:歯肉の退縮、歯根吸収、歯髄充血、歯髄壊死など
治療費用総額(精密検査・診断、保定装置代含む、消費税込み):982,000円
※治療費用は治療の時期などで個人差があります。
以上となります。
早く治療を終わらせたい方は、歯を動かすために装置作製や抜歯などの準備が必要になりますので、なるべく早めの精密検査をおすすめします。
歯並びが気になる方は、お気軽にご相談ください☺️
住所:福岡県福岡市中央区警固1−1−23上人橋通りKIKUEビル2F
医院名:薬院六つ角矯正歯科
電話番号:092-717-5617