MENU

ブログ

Blog

下顎前歯1本先天性欠損、でこぼこしている歯並びを抜歯矯正治療で改善した症例:表側にホワイトワイヤー|【公式】薬院六つ角矯正歯科|福岡市中央区の薬院大通駅近くの矯正歯科

下顎前歯1本先天性欠損、でこぼこしている歯並びを抜歯矯正治療で改善した症例:表側にホワイトワイヤー

こんにちは!

薬院六つ角矯正歯科です☺️

今日は表側のワイヤー矯正の症例についてご紹介します。

キーワード:ワイヤー矯正、歯並びのガタガタ、八重歯、大人の矯正、目立たない矯正

 

患者様は、歯並びがでこぼこしているのが気になるとのことです。

お口の中を診ると、叢生(歯並びがガタガタ)、下顎切歯1本先天性欠損(下顎の前歯がもともと1本少ない)、上顎右側側切歯反対対咬(上顎右側2番が内側に反対にかんでいる)、過蓋咬合(上下前歯のかみ合わせが深い)などが認められました。

検査、診断の結果、全体的なかみ合わせの改善が必要で、上顎片側抜歯の全顎矯正治療を行うこととしました。

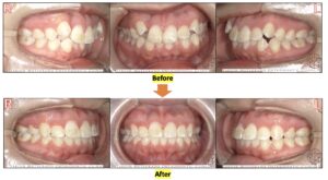
治療前後の写真です↓↓

上下顎咬合面の治療前後の写真です↓↓

ワイヤー矯正中の写真です↓↓

 

 

動的治療期間は約1年10ヶ月でした。下顎前歯が1本少ないだけで、診断はとても難しいです。患者様とコミュニケーションをしっかりとりながら、治療期間内に治療目標を達成することができました。

性別:女性

年齢:20代

主訴:歯並びがでこぼこしている

診断名:叢生

動的矯正治療期間:1年10ヶ月

使用した装置:マルチブラケット装置(表側にホワイトワイヤー)

抜歯部位:上顎第一小臼歯

治療のリスク:歯肉の退縮、歯根吸収、歯髄充血、歯髄壊死など

治療費用総額(精密検査・診断、保定装置代含む、消費税込み):957,500円

※治療費用は治療の時期などで個人差があります

以上となります。

早く治療を終わらせたい方は、歯を動かすために装置作製や抜歯などの準備が必要になりますので、なるべく早めの精密検査をおすすめします。

歯並びが気になる方は、お気軽にご相談ください☺️

住所:福岡県福岡市中央区警固1−1−23上人橋通りKIKUEビル2F

医院名:薬院六つ角矯正歯科

電話番号:092-717-5617

カテゴリー

最近の投稿

月別アーカイブ